• Tel: 858.663.9055
  • SeparatorEmail: info@nsjbio.com
  • Tel: 858.663.9055
  • Email: info@nsjbio.com
Home >> Antibodies >> Eph Receptor B2 Antibody [EPHB2]

Eph Receptor B2 Antibody [EPHB2] [clone 48CT12.6.4] (F40413)

  Catalog No Formulation Size Price (USD)  
Image F40413-0.2ML In 1X PBS, pH 7.4, with 0.09% sodium azide 0.2 ml 429
Image
F40413-0.05ML In 1X PBS, pH 7.4, with 0.09% sodium azide 0.05 ml 199
Bulk quote request
Western blot analysis partial EPHB2 protein using EphB2 antibody at 1:1000.
Flow cytometric analysis of HepG2 cells using EPHB2 antibody (red) compared to a negative control (blue). PE-conjugated goat-anti-mouse secondary Ab was used for the analysis.
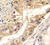
IHC analysis of FFPE human lung carcinoma tissue stained with EPHB2 antibody
Availability 1-3 business days
Species Reactivity Human
Format Purified
Clonality Monoclonal (mouse origin)
Isotype Mouse IgG1, k
Clone Name 48CT12.6.4
Purity Purified
UniProt P29323
Applications Western Blot : 1:1000
Flow Cytometry : 1:10-1:50
IHC (Paraffin) : 1:200
Limitations This EPHB2 antibody is available for research use only.
Review this product on BioCompare and get a $20 Amazon gift card

Related Products

Description

Ephrin receptors and their ligands, the ephrins, mediate numerous developmental processes, particularly in the nervous system. Based on their structures and sequence relationships, ephrins are divided into the ephrin-A (EFNA) class, which are anchored to the membrane by a glycosylphosphatidylinositol linkage, and the ephrin-B (EFNB) class, which are transmembrane proteins. The Eph family of receptors are divided into 2 groups based on the similarity of their extracellular domain sequences and their affinities for binding ephrin-A and ephrin-B ligands. Ephrin receptors make up the largest subgroup of the receptor tyrosine kinase (RTK) family. The protein encoded by this gene is a receptor for ephrin-B family members.

Application Notes

Titration of the EPHB2 antibody may be required due to differences in protocols and secondary/substrate sensitivity.

Immunogen

Purified His-tagged protein (from amino acids 127~425) was used to produce this monoclonal EPHB2 antibody.

Storage

Aliquot the EPHB2 antibody and store frozen at -20oC or colder. Avoid repeated freeze-thaw cycles.

Cross
Bulk Quote Request Form
Name*:
Organization*:
Email*:
Phone Number*:
Catalog No.*:
Comments and Specifics(amount, formulation, etc.)*:
Validation code: Captchapackage Image


Can't read the image? click here to refresh.
    *required field

Your bulk quote request has been submitted successfully!

Please contact us if you have any questions.